Braces & Clear Aligners | Owensboro
Everything a Smile Needs
At Danzer Orthodontics, we’re proud to provide everything your smile needs!
From braces to clear aligners, Dr. Danzer and the team have the best in the industry — the best treatments, made with the best materials, all administered by the best experienced team that never loses sight of what’s important: you and your family.

Perfect Your Bite
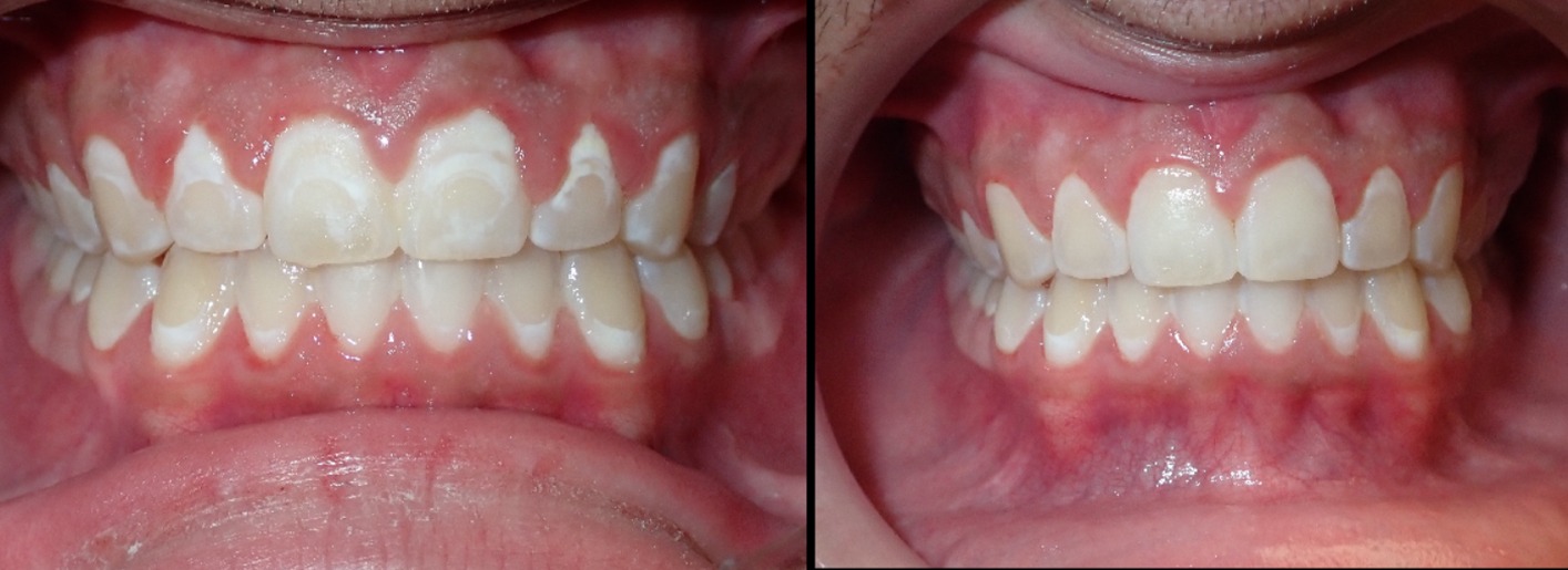
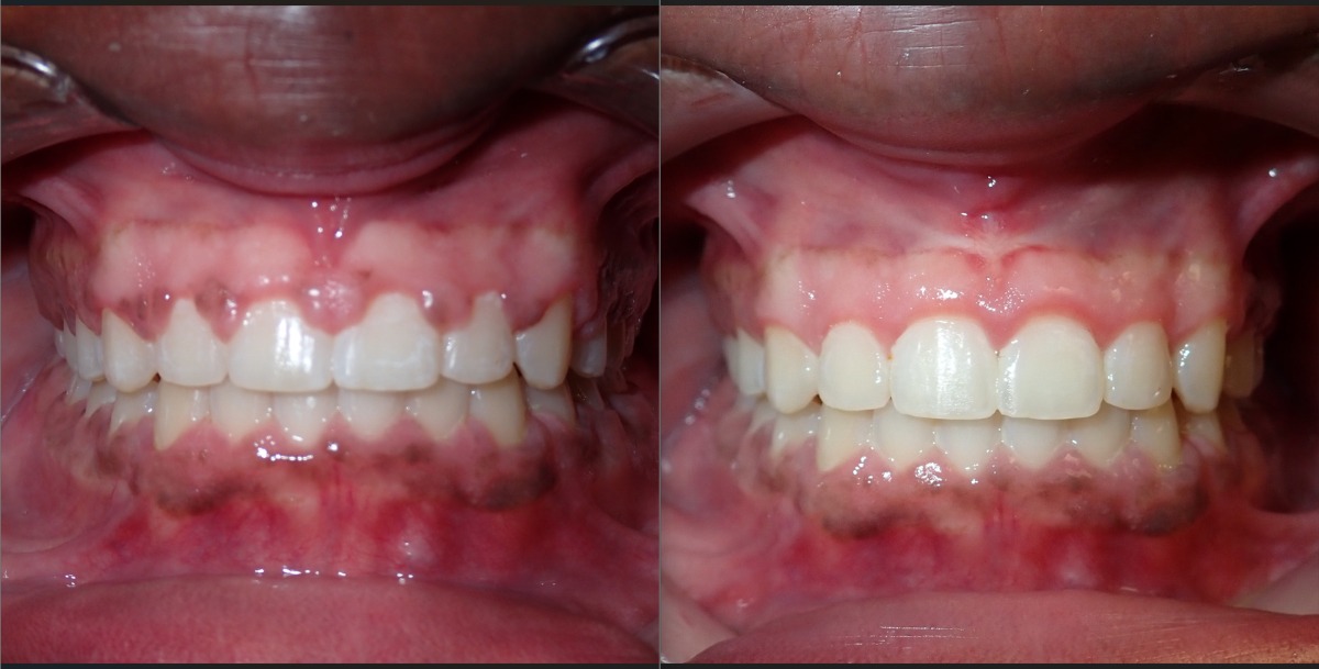
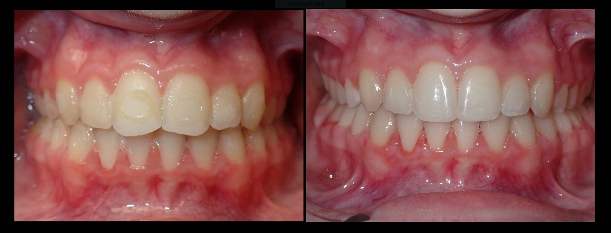
Orthodontic issues affect people of all ages — kids, teens, and adults alike. Few are born with naturally perfect teeth. Whether it's a malocclusion or a "bad bite," it can affect your ability to chew, maintain good oral hygiene, and even speak clearly.
Issues like bad bites can be either genetic or acquired through habits like thumb-sucking, dental disease, or accidents. Dr. Danzer blends state-of-the-art technology with expertise in tooth movement, offering successful treatment for various dental issues such as:
- Gaps between teeth
- Crowded teeth
- Overbite
- Underbite
- Crossbite
- Protruding teeth
- Impacted teeth
Conventional Braces & Alternatives
The majority of our patients at Danzer Orthodontics opt for traditional metal braces to achieve their ideal smiles.
Metal braces remain the most prevalent orthodontic option in Owensboro, but there are other choices available. During your initial complimentary consultation, Dr. Danzer will discuss which treatments best suit your specific needs and smile aspirations.
Understanding Fixed & Removable Appliances
Knowledge is power, and we believe you should be well-informed about your treatment options. The first step in rectifying any orthodontic issue is understanding it.
Our Owensboro community should know the distinction between fixed and removable appliances. Dr. Danzer uses fixed appliances, like braces, which are attached to your teeth and remain in place until the end of your treatment.
Removable appliances like aligner systems can be taken out of your mouth but should be worn most of the day. While clear aligners are used for mild to moderate cases, fixed appliances are generally recommended for more comprehensive and severe treatments.
Beyond Braces
Comprehensive Care for a Healthy, Beautiful Smile
At Danzer Orthodontics, our services extend beyond straightening teeth.
We're dedicated to offering you complete dental solutions that not only improve your smile but also enhance your overall oral health. Explore some of the additional treatments we offer below.